Paciente – ICE; Idade – 2 anos
F. Husky Siberiano; Peso – 7 Kg
Resumo: Após 2 meses a seguir ao parto normal o paciente começou a emagrecer e com problemas em urinar e defecar. Ao exame clinico revelou a presença dos gânglios inguinais superficiais muito dilatados. A vulva estava muito congestionada e com um corrimento sanguinolento quase persistente. A suspeita indiciava-nos para a presença de um tumor. Fizemos a exerese cirúrgica quer dos gânglios inguinais superficiais como dos profundos e o envio para o laboratório confirmou a presença de um Sarcoma de Stiker.
- Anamnese
Corrimento vulvar discreto. Prurido na zona genital; a cadela lambe a vulva. Dificuldade em urinar em defecar.
Â
- Exame Clinico
Corrimento de sangue constante nos lábios da Vulva. Presença de um tumor no vestÃbulo vulvar que faz ligeira protusão, com aspecto vegetante, hemorrágico, pediculado. Disuria, Estranguria. Coprostase. Anorexia. Caquexia. Anemia. Hipertrofia dos gânglios inguinais superficiais em forma elÃptica com o diâmetro maior com cerca de 20 cm.
 
Â
- Exames Complementares
Ecografia: Imagens hiperecogénicas que evidenciam hipertrofia dos gânglios inguinais profundos.
Hemograma : HCT DI. HGB DI. Restantes valores dentro dos parâmetros normais.
 
Â
- Diagnóstico
Os dados do Exame Clinico e dos Exames Complementares indicam-nos que estamos na presença de um Sarcoma de Stiker no vestÃbulo vulvar.

Â
- Tratamento
Foi efectuado em duas fazes: Primeiro fizemos uma exerese cirurgica do Sarcoma a nÃvel da vulva e exerese dos gânglios inguinais superficiais e profundos que se encontravam muito hipertrofiados. Os gânglios inguinais profundos estavam a comprimir as vÃsceras. Seguidamente durante 30 dias fizemos quimioterapia.
Protocolo Anestésico: Premedicação-Acepromazina 0,02 mg/Kg + Buprenorfina 0,005 mg/Kg IM. Indução-Profofol 6mg/Kg. Manutenção – O2 +Isoflurano 1,5%.
Exerese Cirurgica – Bisturi eléctrico com tesoura bipolar permitiu uma exerese fácil e completa do tumor a nÃvel do vestÃbulo vulvar e dos gânglios inguinais superficiais; seguidamente fizemos laparotomia para realizar a exerese dos gânglios inguinais profundos, em forma elÃptica com 15 cm de diâmetro maior que faziam compressão sobre o colón e bexiga.
 
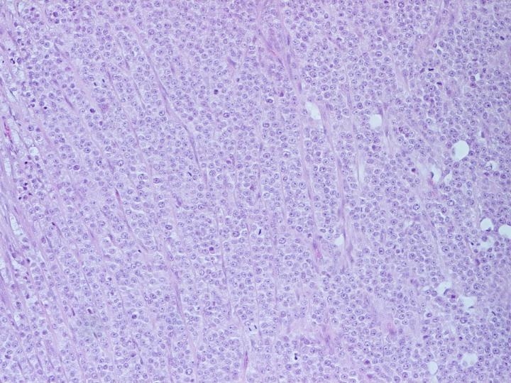
- Fizemos várias biópsias dos gânglios e enviamos para o Laboratório de Anatomia Patológica da UTAD. Os resultados laboratoriais confirmaram a presença de metásteses do Sarcoma nos gânglios inguinais superficiais e profundos.
 
- Quimioterapia: Foi efectuada durante um mês com vincristine (0,025 mg/Kg/IV); 1 injecção semanal durante 4 semanas. Foram feitas várias observações e após 7 meses não se detectou nenhuma recidiva.

Â
- Discussão
O Sarcoma de Stiker é uma afecção venérea, própria da espécie canina, que se caracteriza clinicamente pelo desenvolvimento de um tumor sobre as mucosas genitais do pénis no macho, e do vestibulo na fêmea. No Sarcoma de Stiker as lesões permanecem locias. A generalização é rara.
Quando há metásteses estas encontram-se essencialmente nos gânglios inguinais superficiais, secundariamente nos inguinais profundos, ileopelvicos, lomboaorticos, mesentéricos. Mais raramente as metástases foram assinaladas nos ovários, figado, baço, rim, pulmões, hÃpofise, pele, amÃgdalas e mucosa bucal. A disseminação metastática efectua-se por via linfática ou por acção de lamber o tumor primitivo. No nosso caso clinico as metástases apareceram nos gânglios inguinais superficiais e profundos.
O resultado enviado pelo Laboratório de Anatomia Patológica sob a responsabilidade da Dr.ª Anabela Alves foi o seguinte: Sarcoma de Sticker com metastização ganglional.